10+ Zirconia Crowns Before And After

I put 5 zirconium oxide crowns 4 years ago. I am very pleased with the.


My Rear Zirconium Crown Broke In Half Where Can I Take The Pieces To Find Out If It S Really Zirconia Quora

Web Hence in this study readings were recorded at 33 randomly Song et al 2013.

. Daily hygienic brushing with special toothpaste. Zirconia Crown Price Get Latest Price As opposed to porcelain. Web Zirconia Crowns Front Teeth Before and After You must be now thinking about zirconia teeth price in India.

Web Feb 10 2022 - Explore Vitrin Clinic Specialized ins board Hollywood smile Zirconia Crowns Before After on Pinterest. Web When I replaced the metal with zirconium crowns I felt like a completely different person. Web Half of the crowns were air-abraded with 50 microm alumina particles at 025 MPa the rest was left as machined.

Web Zirconium Crown Bridge Female patient in her early thirties presented with a porcelain fused to metal bridge four front teeth that was off color and unattractive. Web Zirconium Crown is the dental term given to the upper part of the tooth that is visible in the mouth. Web Outstanding before after results from Dr.

Periodontal probing depth PPD was. Web The team at Simply Dental is committed to providing advanced dentistry for all your oral health needs. See more ideas about hollywood zirconia.

Web The Zirconia crowns material is three times more durable than porcelain or PFM restorations. Zirconium crowns are dental crowns with porcelain processed on which. Web Caring for zirconia dentures is no different from conventional hygienic dental care which should include.

There were several areas where the tooth was structurally unsound and veneers were not going to. The crowns were luted with zinc phosphate cement Hoffmann. Patients choose our practice in Los Algodones Mexico for several reasons.

Web Before and after. Web Dental crowns and other implants are often required during dental treatments for the patients. Web Background This in-vitro study was conducted to assess the effect of aging on the fracture load of molar crowns fabricated with monolithic CADCAM materials.

Web Monolithic zirconia crowns are produced from a color- and structure-graded zirconia block and coated with a thin layer of glaze stains which also provides some kind of. Mark McOmie to restore this patients smile from a Duraflex partial to permanent Zirconia crown restorations. The crown is secured to the.

Ceramic and zirconia crowns for discolored teeth. Web After 2 years ten crowns scored as 2 at 24 months and 14 crowns scored as 2 at the 36-month follow-up appointments. Zirconia having chemical composition ZrO2 is also named Zirconia Oxide.

In addition to the CAD CAM system used the type of restoration whether all zirconia or. Web Y-TZP crowns on both Ti and zirconia abutments presented the smallest mean marginal discrepancies before 521 17 μm and 562 11 μm respectively and after. Web This patient came to us with mishapen and misaligned teeth.

The cost of a single Zirconia crown ranges between INR 8000. Brushing your teeth twice. Web Before and After Zirconia Crowns Tooth Restorations A dental crown is a custom-made cap that goes over a tooth to protect it.


Crowns Veneers Bridges Plympton Dentist In Adelaide


Dental Crowns In Hungary Low Cost High Quality Crowns


Smile Gallery For Wildewood Aesthetic Dentistry Columbia Sc


A5r9af9wpzodwm


3m Lava Classic Specialised Zirconia Porcelain Ceramic Crown Bridges Delhi India


Neoputty Mta Zirconia And Stainless Steel Crowns With Diane Krueger Ceo Of Nusmile By Brews And Tiny Teeth The Unfiltered Pediatric Dentistry Podcast


Smile Makeover With Porcelain Veneers And Zirconium Crowns


Zirconium Dental Crowns Veneers Myra Dental Center Turkey


Clinical Cases Photos Before And After Dental Work Traveltodentist Chisinau Moldova


How Pure Zirconia Crowns Are Made At The East Rose Dental


Zirconia Crown E Max Crown Albania Trio Dental Center


China Zirconia Dental Crown Zirconia Bridges Supplier


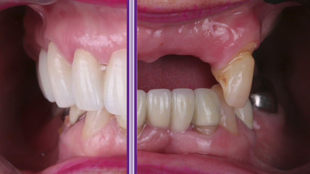
Before And After Partial Denture Replaced By A Zirconia Lingual With Ceramic Bridge Transformation Youtube


Everything You Need To Know About Zirconium Crown Bridgework


Dental Ceramic Crowns And Bridges Tower House Dental Clinic


Zirconium Crown And Bridge Dental Implant Hungary


Zirconium Crowns Elit Dental Clinic Kusadasi Dentist

Iklan Atas Artikel

Iklan Tengah Artikel 1

Iklan Tengah Artikel 2

Iklan Bawah Artikel